LOGIN
JOIN
병원소개
의료진소개
둘러보기
진료시간/오시는길
쌍꺼풀
최소절개
자연유착법
절개법
재수술
눈매교정
눈매교정
트임성형
앞트임/윗트임
뒷트임/밑트임
눈밑지방재배치
눈밑
지방 재배치
중년눈성형
상안검성형술
하안검성형술
내시경이마거상술
내시경이마거상술
안티에이징
실리프팅
지방이식
브이로리프팅
쁘띠성형
필러
보톡스
스킨부스터
리쥬란&리쥬란HB
커뮤니티
공지사항
이벤트
성형모델모집
전후사진
온라인상담
멤버십
LOGIN
JOIN
오시는길
전화예약
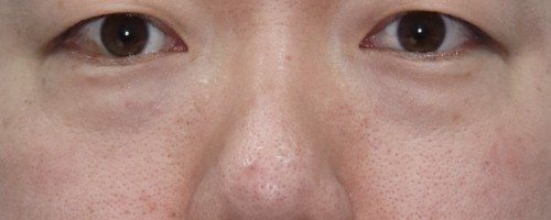
TOP
빠른상담신청
분류
눈성형
지방이식
스킨케어
안면윤곽
안티에이징
기타
개인정보 수집 및 이용에 동의
전후사진 카테고리
전체
쌍꺼풀
눈매교정
트임성형
눈밑지방재배치
중년눈성형
안티에이징
쁘띠성형
Total 49건
1 페이지
게시판 검색
49
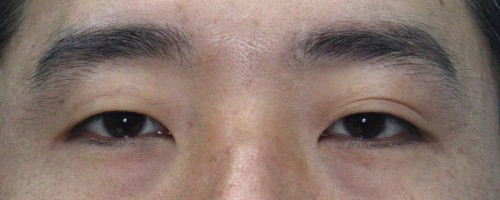
LOGIN
BEFORE
AFTER
쌍꺼풀
재수술 부분절개+앞트임
작성자
아이본성형외과
작성일
10-29
조회
34
48
LOGIN
BEFORE
AFTER
쌍꺼풀
절개+눈매교정+앞트임+(오른쪽)윗트임
작성자
아이본성형외과
작성일
08-29
조회
33
47
LOGIN
BEFORE
AFTER
눈매교정
(남자눈성형)부분절개+눈매교정
작성자
아이본성형외과
작성일
08-29
조회
15
46
LOGIN
BEFORE
AFTER
쌍꺼풀
절개+윗트임
작성자
아이본성형외과
작성일
08-29
조회
30
45
LOGIN
BEFORE
AFTER
중년눈성형
하안검지방재배치+수프리프팅
작성자
아이본성형외과
작성일
08-29
조회
19
44
LOGIN
BEFORE
AFTER
중년눈성형
하안검지방재배치+수프리프팅
작성자
아이본성형외과
작성일
08-29
조회
15
43
LOGIN
BEFORE
AFTER
쌍꺼풀
(남자눈성형)절개+눈매교정+앞트임
작성자
아이본성형외과
작성일
08-19
조회
11
42
LOGIN
BEFORE
AFTER
중년눈성형
하안검지방재배치+지방이식
작성자
아이본성형외과
작성일
06-18
조회
18
41
LOGIN
BEFORE
AFTER
중년눈성형
하안검지방재배치+수프리프팅+외안각고정술
작성자
아이본성형외과
작성일
06-18
조회
9
40
LOGIN
BEFORE
AFTER
중년눈성형
재수술 하안검+수프리프팅+외안각고정술
작성자
아이본성형외과
작성일
06-18
조회
7
39
LOGIN
BEFORE
AFTER
쌍꺼풀
절개+눈매교정+앞트임
작성자
아이본성형외과
작성일
06-18
조회
16
38
LOGIN
BEFORE
AFTER
눈밑지방재배치
중안면부거상술
작성자
아이본성형외과
작성일
06-05
조회
11
37
LOGIN
BEFORE
AFTER
쌍꺼풀
재수술 부분절개+눈매교정
작성자
아이본성형외과
작성일
06-04
조회
21
36
LOGIN
BEFORE
AFTER
눈매교정
눈썹밑절제술+눈썹고정술+부분절개+눈매교정+앞트임
작성자
아이본성형외과
작성일
06-04
조회
14
35
LOGIN
BEFORE
AFTER
중년눈성형
하안검지방재배치+수프리프팅
작성자
아이본성형외과
작성일
06-04
조회
9
열린
1
페이지
2
페이지
3
페이지
4
페이지
맨끝
검색
검색대상
제목
내용
제목+내용
글쓴이
글쓴이(코)
검색어
필수
검색
닫기
전화예약
분류
눈성형
지방이식
스킨케어
안면윤곽
안티에이징
기타
개인정보 수집 및 이용에 동의